
Clinical image gallery

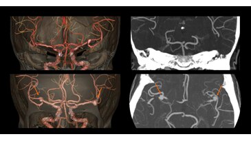
Carotids, assessment of aneurism at 1.8 mSv1

Circle of Willis

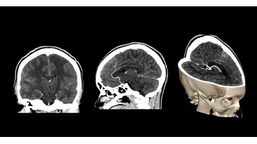
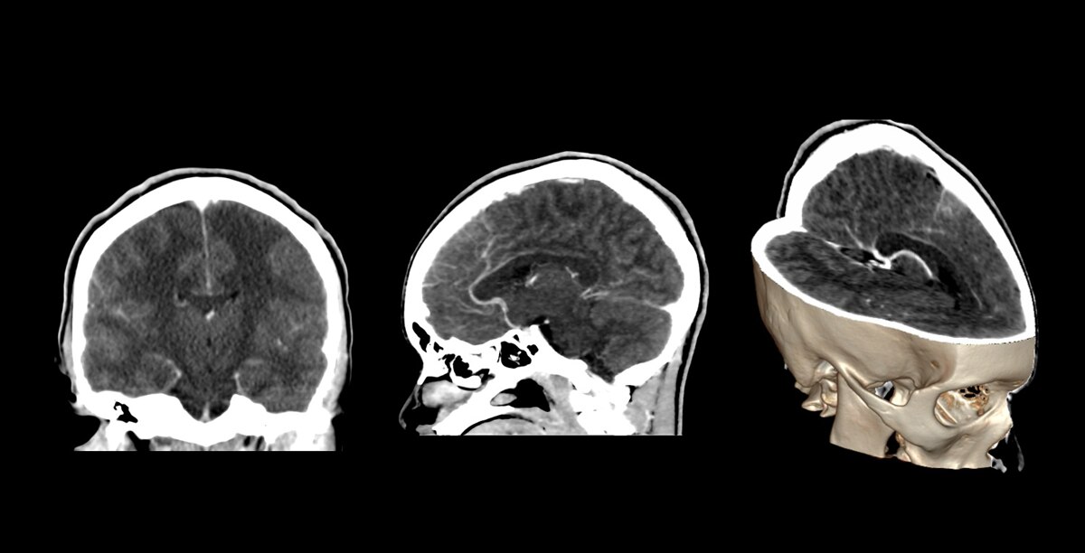
Brain with contrast at 1 mSv1
Key Facts
Up to 40% dose reduction with no compromise in image quality thanks to ASiR technology*.
Hands-free workflow with Xtream display and one-stop scan mode.
Proactive 24/7 monitoring anticipating failures and remote maintenance powered by OnWatch & InsiteTM Remote technology.
Optimize clinical efficiency: access online video training, educational contents, e-learnings built by experts for experts.
ELEVATE PATIENT EXPERIENCE

Organ Dose Modulation

ASiR Technology

DoseWatch
DRIVE OPERATIONAL EFFICIENCY

Proactive Remote Services

AppsLinq*: Continuous online education.

iCenter: visible data. Optimized assets.

GE Cares community

Live Experts webinars
- Contrast Data Mgmt. module collects contrast data automatically for class 4 integrated injectors for GE CT scanners only and is available for manual entry for other modalities connected to DoseWatch with the Contrast Data Management Module. Dose tracking for Nuclear Medicine is available for PET, PET/CT for single injection procedures only.
- In clinical practice, the use of ASiR may reduce CT patient dose depending on the clinical task, patient size, anatomical location, and clinical practice. A consultation with a radiologist and a physicist should be made to determine the appropriate dose to obtain diagnostic image quality for the particular clinical task. ASiR is licensed for use with a GE x-ray tube. Use of a third-party x-ray tube will require an additional license for these features.
- Determining the Benefits of Proactive Digital Service for Computed Tomography Scanners Whitepaper. Benefits of Proactive Digital Service for CT Scanners Whitepaper.
- Benefits of Proactive Digital Service for CT Scanners Whitepaper.

