Before the exam
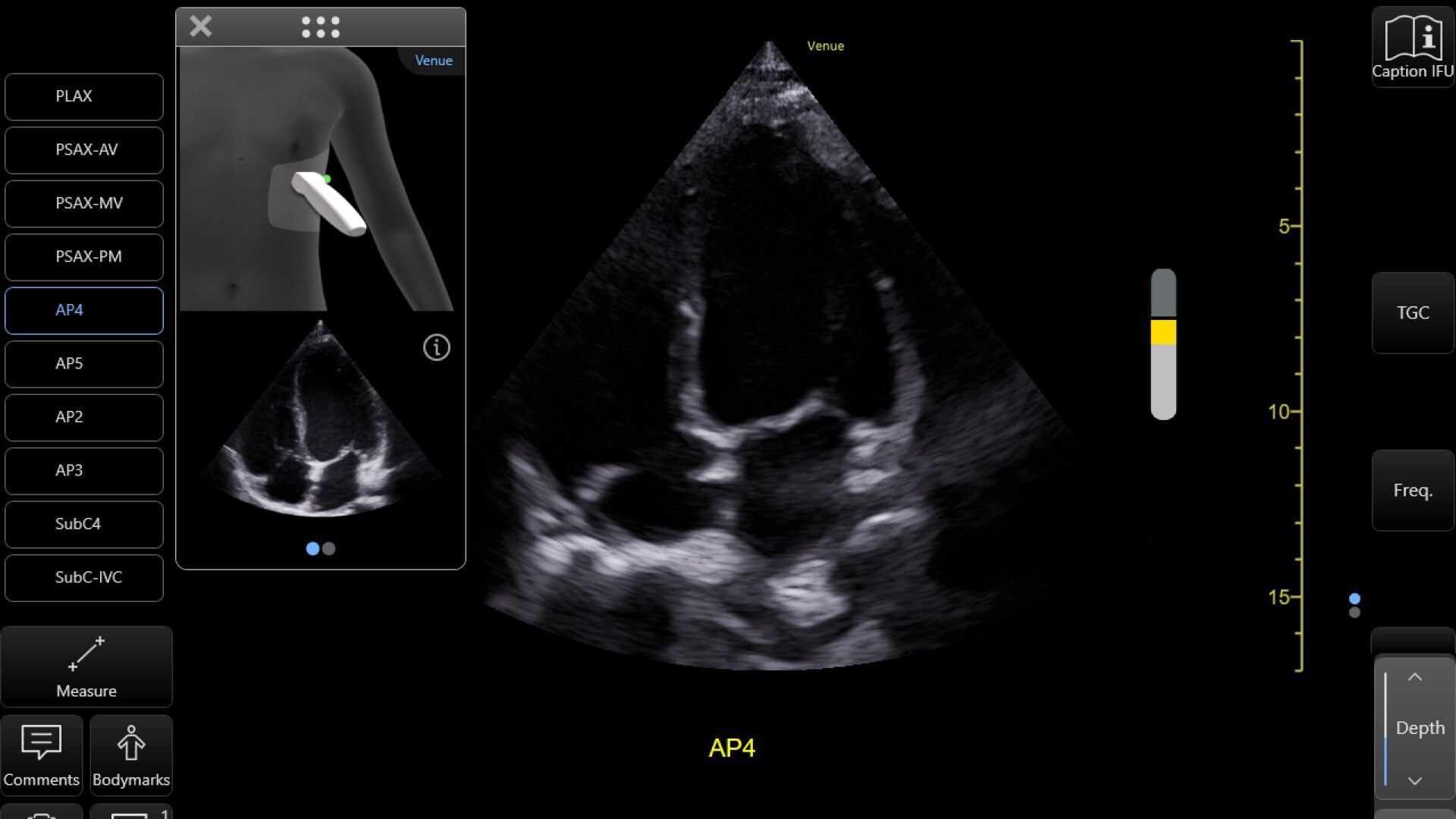
Preliminary probe placement information shows you where to place and how to orient the ultrasound probe. As you begin the exam, a handy reference image shows you the image you are trying to acquire.
All Products
Imaging
Patient Care Solutions
Ultrasound
Pharmaceutical Imaging Agents
Digital Solutions
Performance Analytics
GoldSeal™ Systems
Accessories and Supplies
Perioperative care solutions
Asset Performance Management
Customer Service Agreements
Fleet Management
Healthcare Technology Management
Enterprise Solutions
Predictive Services
Remote Support
Security
Service Shop
Ultrasound Lifecycle Solutions
Patient Care Solutions
Prescriptive Guidance
Quality Meter
Save Best Clip
AutoCapture
Helps you before, during and after the scan
Preliminary probe placement information shows you where to place and how to orient the ultrasound probe. As you begin the exam, a handy reference image shows you the image you are trying to acquire.
Follow the prescriptive guidance provided on the screen. Move the probe slowly – and watch the Quality Meter rise as you get closer to an image of diagnostic quality.
Easily review your recorded clips prior to ending your exam to make sure you have all the views you need.
Whether you're looking for an adaptable model that goes from cart to table to wall, or a console system with a large screen, there is a versatile, robust, and simple system made for your point of care.
JB07976XE
© 2026 GE HealthCare. GE is a trademark of General Electric Company. Used under trademark license.
Intended for healthcare professionals only