Benefits

ASSIST

Power up your clinical decision making

The interventional field is growing with ever-expanding capabilities and migration to less invasive, safer and more cost-efficient procedures. With the new generation of GE's advanced interventional imaging software solutions, ASSIST, you can expand your clinical versatility and successfully plan, guide and assess increasingly sophisticated procedures with greater precision and dose efficiency.

EVAR ASSIST 2

Endovascular aneurysm repairs can be delicate when dealing with complex anatomies. With EVAR ASSIST 28, 3D fusion imaging is very accessible.

duct-categories-interventional-x-ray-igs-for-hybrid-or-discovery igs 730-evar-assist-3.jpg
Plan

Plan with a dedicated EVAR planning application to perform key anatomical measurements, size the endograft and save key information for fusion imaging during intervention.

duct-categories-interventional-x-ray-igs-for-hybrid-or-discovery igs 730-evar-assist-2.jpg
Guide

Guide your devices by overlaying 3D datasets from CT, MR or CBCT on live fluoro images. Register the 3D model using the Bi-View registration.

duct-categories-interventional-x-ray-igs-for-hybrid-or-discovery igs 730-evar-assist-1.jpg
Assess

Acquire a high definition cone-beam CT, Innova CT HD, to display the information in oblique views to assess device deployment and the presence of potential endoleaks.

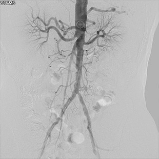
Vessel ASSIST

Peripheral recanalization can be delicate especially for long occlusions. With Vessel ASSIST9, the 3D and centerline overlay helps to cross occlusions, position and deploy devices.

t-categories-interventional-x-ray-igs-for-hybrid-or-discovery igs 730-plan-evar-assist.jpg
Plan

Automatically extract the bone and vessel anatomies. Edit vessel centerlines and bridge them through occlusions.

ct-categories-interventional-x-ray-igs-for-hybrid-or-discovery igs 730-vessel-assist-2.jpg
Guide

Import segmented anatomy, centerline and landmarks. Overlay them on live fluoroscopy whatever the angulation.

ct-categories-interventional-x-ray-igs-for-hybrid-or-discovery igs 730-vessel-assist-1.jpg
Assess

Use DSA images on a large field of view to image the entire anatomy of interest.

Valve ASSIST 2

Transcatheter Aortic Valve Replacement (TAVR) demands meticulous, detailed planning. Valve ASSIST 210 can help you plan and guide challenging procedures with confidence.

duct-categories-interventional-x-ray-igs-for-hybrid-or-discovery igs 730-tavi-assist-3.jpg
Plan

0-click aorta segmentation and auto-detection of the valve plane delivering easy and reproducible valve sizing for interventional cardiologists and cardiac surgeons.

duct-categories-interventional-x-ray-igs-for-hybrid-or-discovery igs 730-tavi-assist-2.jpg
Guide

Guide devices with high-precision live 3D guidance and calcification visualization enhancement mode to assist valve positioning and deployment.

duct-categories-interventional-x-ray-igs-for-hybrid-or-discovery igs 730-tavi-assist-1.jpg
Assess

Visualize potential residual valve regurgitation using either angiography or ultrasound.

Needle ASSIST11

Performing minimally invasive spine procedures in the hybrid OR provides excellent access to the patient as well as high-end imaging capabilities to help find the right entry point and advance devices while avoiding critical structures.

ct-categories-interventional-x-ray-igs-for-hybrid-or-discovery igs 730-needle-assist-3.jpg
Plan

Plan the procedure using outstanding 3D information and determine the optimal skin entry points and needle paths directly on oblique CBCT cross-sections.

ct-categories-interventional-x-ray-igs-for-hybrid-or-discovery igs 730-needle-assist-2.jpg
Guide

You can guide your needle along the virtual trajectory that will follow C-arm angulations and table movements. A dedicated bone rendering helps visualize mis-registration and correct for even small patient motion from tableside.

ct-categories-interventional-x-ray-igs-for-hybrid-or-discovery igs 730-needle-assist-1.jpg
Assess

The stereo 3D mode lets you visualize a reconstructed 3D needle on the CBCT oblique view from just two fluoroscopic images, letting you localize devices within the 3D anatomy without a CBCT acquisition.

1. Option

2. For XA modality series, Integrated Registration currently supports only 3D X-Ray Angiography images (stored as CT Image Storage DICOM objects) acquired with GE equipment and reconstructed with the Innova 3DXR application.

* The Discovery IGS 740 has the widest bore (distance tube cover to detector cover) of the major players’ interventional angiography systems used for imaging in the field of interventional radiology & oncology procedures.

 

JB62236XXa